1. Introduction
Pituitary adenomas account for the vast majority of tumors that occur in the sellar region. These tumors have represented 10 to 15 percent of all diagnosed intracranial neoplasms (1-3). Pituitary adenomas might occur at any age, but more common in the third through sixth decade of life (1, 4). The signs and symptoms of pituitary adenoma might be related to either the mass effect (visual symptoms or headache) or production of hormones (1). 10 to 20 percent of all pituitary adenomas have known to be growth hormone producing (2, 5). The recognition of this type of pituitary adenoma has made when serum level of GH rises and clinical features of acromegaly have become evident (6). Invasive pituitary adenomas have been defined when invasion of tumor cells to adjacent tissues like dura, bone, sinus mucosa or cavernous sinus and rarely brain paranchyma could be shown (1, 7-9). Lymphocytic infiltration within pituitary adenoma would be a seldom histologic feature seems from literature to account for 2.9% in 1400 reviewed cases (10).
In this article we have described unusual clinicopathologic features of a recurrent pituitary adenoma with both lymphocytic infiltration and characteristic brain invasion that seemed to be extremely rare and exceptional. The importance of these characteristics in association with underlying pathogenesis of this rare type of pituitary adenoma have discussed here.
2. Case presentation
A 37-year-old woman was admitted to our hospital in 2010 with complaints of headache, amenorrhea and acromegalic features. Her headache and amenorrhea had begun about one year ago. Past medical history was not significant and she had no prior history of diabetes, hypertension, hyperlipidemia, cardiac or pulmonary problems.
Physical examination has revealed typical acromegalic features in her face and extremities. Her vital signs were in normal ranges and neurologic examination showed intact function of cranial nerves.
Laboratory studies showed normal white blood cells, serum blood glucose and renal and liver function tests. Serum endocrinological testing (Table 1) revealed markedly elevated levels of IGF-1 and low levels of Follicle Stimulating Hormone (FSH) and Luteinizing Hormone (LH). Other endocrinological tests were within normal limits. On Oral Glucose Tolerance Test (OGTT), the serum Growth Hormone (GH) level has not suppressed in response to induced hyperglycemia.
| Component | Reference Range | Measured Value |
|---|---|---|
| 70 - 200 | 90 | |
| 5.1 - 14.1 | 6.3 | |
| 0.4 - 4.2 | 0.6 | |
| 3.5 - 12.5 | 0.9 | |
| 2.4 - 12.6 | 0.1 | |
| 1 - 27 | 1.6 | |
| 6.2 - 20 | 16.2 | |
| 7.2 - 64 | 21.3 | |
| 78 - 220 | 533 |
Abbreviations: ACTH, adrenocorticotropic hormone; FSH, follicle stimulating hormone; IGF1, insulin like growth factor 1; LH, luteinizing hormone; PRL, prolactin; TSH, thyroid stimulating hormone.
Skull X-ray examination demonstrated a slightly enlarged sella turcica. Computerized tomography revealed a pituitary mass without extra-sellar extension. Following clinical diagnosis, the tumor was completely excised via trans-nasal endoscopic approach. No residual tumor was found on post-operative MRI images. Histologically, the tumor was diagnosed as a pituitary adenoma with GH positive cells. The serum IGF1 levels gradually decreased to the normal range during the first year after surgery. The patient was symptom free for three and a half years when she returned with complaint of visual impairment. Perimetry test revealed visual field defect of bitemporal hemianopia.
On her brain MRI, there was a mass in the sellar and supra-sellar region. In the sellar part, tumor extended to the right cavernous sinus (Knosp grade III) and also a supra-sellar extention to third ventricle floor and anteriorly to sub-frontal area was obvious. On coronal images with contrast injection, there was a slight peri-tumoral edema and the border of tumor adjunctive to brain paranchyma showed fair enhancement (Figure 1 A). On coronal view, there was very interesting radiologic appearance. Supra-sellar mass had grown independently into the remaining sellar part (Figure 1 A and B).
Endocrinological studies revealed markedly elevated basal level of serum growth hormone. No autoimmune disease was found clinically or by serologic studies.
Following local recurrence had been evident, surgical operation was performed via trans-nasal endoscopic approach. Dural adhesions from previous surgery were exposed. The tumor was removed by suction and curettage. After complete removal, operation cavity was checked by angled lenses. Vascular and neural structures were completely preserved.
2.1. Pathological Findings
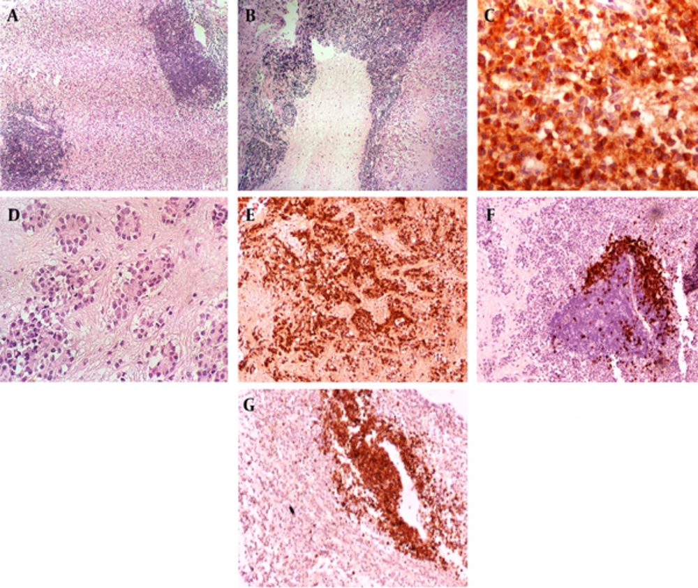
Surgical specimen fixation was done with 10% formalin and paraffin embedding and H&E staining was performed for histological examination. Immunohistochemistry with peroxidase method using antibodies against Prolactin, GH, LH, FSH, Thyroid Stimulating Hormone (TSH), Adrenocorticotropic Hormone (ACTH), P53, Ki67, Cluster of Differentiation 3 (CD3) and Cluster of Differentiation 20 (CD20) antigens was also performed. Histopathological examination of the surgical specimens revealed sheets and clusters of monomorphic cells with round to oval nuclei and eosinophilic cytoplasms invading brain tissue in irregular fashion. There was scattered dense intra-tumoral lymphoid follicle formation more prominent upon invasive parts. Some lymphoid follicles had germinal centers, too (Figures 2 A, B and D). An immunoperoxidase panel for anterior pituitary hormones showed sparsely granular immunoreactivity for GH (Figures 2 C and E) and negative results for other pituitary hormones. CD3 (Figure 2 F) and CD20 (Figure 2 G) immunostaining was positive in 40% and 60% of infiltrating lymphoid cells, respectively. Additional staining for P53 was negative and Ki67 index was negligible (positive in < 0.8% of tumor cells).
A, HE-Stained Section Shows Sheets of Monomorphic Tumoral Cells With Lymphoid Follicle Formation Around; B, HE-Stained Section Shows Prominent Infiltration of Lymphoid Cells Into Adjacent Gliotic Brain Parenchyma; C, and; E, Positive Immunoreactivity for GH; D, HE-stained Section Shows Invasion of Brain Parenchyma With Tumoral Cells; F, Positive Immunoreactivity for CD3 and; G, for CD20
3. Discussion
Pituitary adenomas account for approximately 10 to 15 percent of primary operated brain tumors (1, 2) and would be the third most common intracranial neoplasms after glioma and meningioma (10, 11). These tumors have been classified either according to their size or immunohistochemically by pituitary cell type: micro-adenoma measures 10 mm or less in diameter, macro-adenoma over 1 cm in diameter, some are endocrinologically active and others are non-functioning (1). About 10 to 20 percent of all pituitary adenomas are GH-producing (2, 5). Associated clinical manifestations are mainly related to over-production of IGF-1 by endocrine active tumors, which might cause obvious clinical features of acromegaly in adults (1, 6) or the mass effect of macro-adenomas (1, 4, 12). So, as the pituitary adenoma increases in size, upward growth of the tumor with extension to supra-sellar region, called mass effect, often causes progressive visual loss and results in tunnel vision and then blindness (4, 12). Also, the occurrence of diabetes mellitus in relation to a GH-producing pituitary adenoma because of potentially insulin antagonist effect has been well described (13-15). This is similar to our case in which growth hormone producing macro-adenoma presented with acromegaly, visual impairment and diabetes mellitus. Histopathologically, growth hormone producing adenomas are either densely granulated with dense acidophilic cytoplasm showing diffuse growth hormone immune-reactivity or sparsely granulated with weak or nearly absent staining for growth hormone as well as the distinctive presence of fibrous bodies (1, 4, 16). Differences in biological behavior are reflected in the morphologic features. Sparsely granulated growth hormone adenomas that occur in younger ages have been associated with a distinctly poorer prognosis and a propensity for aggressive recurrences (4, 16, 17). Aggressive tumors erode the dura or bone, and may infiltrate surrounding structures, such as the cavernous sinus, cranial nerves, blood vessels, sphenoid bone, and para-nasal sinuses or brain (1, 7-9). Our case of sparsely granulated growth hormone adenoma, brain invasion and recurrence was a rare example of this entity. It is important to recognize that lymphocytic hypophysitis and inflammatory diseases of the pituitary gland are other rare differential diagnosis of a sellar mass. Lymphocytic hypophysitis represents the most typical of these disorders and is presumed to be of autoimmune origin. It has been characterized by disruption of pituitary gland acini with focal or diffuse lymphocytic infiltration in normal parenchyma (18-20). Although lymphocytic hypophysitis is a relatively rare condition most frequently seen in women during pregnancy or postpartum (21), infiltration of pituitary adenoma by inflammatory cells are extremely rare occurring in younger ages and has no association with pregnancy (22). There is some proposal about the presentation of lymphocytic infiltration in pituitary adenoma but the definite cause of the process is unknown yet. These hypotheses are: the direct effect of secreted hormones on the immune system, local presentation of a general autoimmune disorder, local expression of autoimmune reaction (22) or in our case, this lymphoid infiltration might be due to previous surgery. Tumor Infiltrating Lymphocytes (TILs) may be seen in various types of solid tumors like germinoma, melanoma, ovarian, breast, and colon cancer (23-25). The mechanisms of this infiltration are different and may be due to recognition of tumor antigens by host cells or inflammatory response and chemotaxis (23). The prognostic significances of TILs are also different, for example in ovarian cancer these TILs have made the prognosis favorable with longer survival but in germinoma their consequences have been more relapses and worse prognosis (23). The data about TILs in pituitary adenomas is scant. In some cases peri-tumoral infiltrations may be due to inflammatory reaction and is called secondary hypophysitis but TILs inside the pituitary adenoma is a different condition (23). Some cases of pituitary adenomas with lymphocytic infiltration have been reported (10, 22, 23, 26). A previous study of 1400 pituitary adenomas demonstrated that lymphocytic infiltration was exclusively of T-cells type (16) but interestingly in our case and few other reports (10, 26), it has shown mixed T and B cells. From a case control study, Lupi et al. have shown that this lymphocyte infiltration inside the pituitary adenomas, whether functional or non-functional, could lead to a worse prognosis (23). The present case is considered to be of interest with regard to presence of mixed T and B lymphocytic infiltration and germinal center formation and also invasion of the brain parenchyma simultaneously. According to all studies about pituitary adenomas, the significance of lymphoid infiltration in these tumors remains to be established.

