International Journal of Cancer Management
The Official Journal of Cancer Research Center (CRC), Shahid Beheshti University of Medical Sciences
Journal Overview
Welcome to the International Journal of Cancer Management (IJCM), a peer-reviewed journal published by Brieflands STM Publisher. IJCM is dedicated to advancing the understanding and management of cancer through original studies, reviews, and case reports. The journal covers a wide range of topics, including cancer etiology, epidemiology, prevention, diagnosis, treatment strategies such as surgery, radiotherapy, and medical oncology, as well as cancer survivorship and palliative care. With a special focus on translational research bridging the laboratory and clinic, IJCM aims to contribute to global cancer research and best practices in patient care.

Abstracted/Indexed: ISI Web of Science (ESCI) | Scopus | EMBASE | EBSCO | WHO-EMRO Index Medicus | CABI | Scientific Information Database (SID) | ISC | Google Scholar, more
Scope: All aspects of cancer management and prevention, more
COPE member: Since 2017
Copyright Policy: CC BY-NC 4.0
Publishing Access: Open Access
Peer Review Policy: Double-Blind Peer Review System & Open Peer Review
Recent Articles
Explore the latest articles published in this journal for impactful research and the newest advancements in the field.
Early Nursing Sexual Consultation and Psychoeducation for Improving Sexual Life Quality of Breast Cancer Patients: A Systematic Meta-Analysis
Prevalence of Odontogenic Tumors and Cysts in Iran: A Systematic Review and Meta-analysis
Age-Standardized Cancer Incidence Rate and Ethnicity in Iran
Treatment Pathways, Drug Utilization and Healthcare Resource Consumption in Patients with Metastatic Anaplastic Lymphoma Kinase-Positive Non-small Cell Lung Cancer: A Real-World Analysis with Administrative Databases in Italy
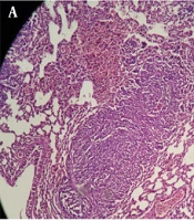
Unexpected Diagnosis of Uterine Inflammatory Myofibroblastic Tumor During Cesarean Section
Inflammatory Indicator Analysis in Patients with Colorectal Cancer: A Cross-sectional Study
Journal Metrics
Discover our most recent insights and updates.

