1. Introduction
The coexistence of B-cell chronic lymphocytic leukemia (CLL) and acute myeloid leukemia (AML) in the same patient has not been reported yet, as the occurrence of this bi-type cases are rare (1, 2).
Patients with CLL have an increased risk for the development of second malignancies, such as colorectal and lung cancer, melanoma, soft tissue sarcoma, and squamous cell skin malignancies (3, 4). Among them, in patients with long standing CLL, transformation to other hematologic malignancies such as prolymphocytic leukemia (10%), large cell lymphoma (3% - 4%) and multiple myeloma (< 1%) could happen. However, a transformation into acute leukemia is infrequent (2, 5). AML develops in less than 1% of patients with CLL, despite the frequent and long-term use of alkylating agents for therapy, the older age of these patients and their relatively long survival with this disease process (4). The nature of the association between CLL and acute leukemia is not clear. In most cases, AML occurs after treatment of CLL and is thought to be therapy related. However, rare cases with previously untreated CLL transforming into AML or simultaneous presentation of CLL and AML have been previously reported (1, 2, 5).
The aim of this study is to report simultaneous occurrence of CLL and AML M5 in an old female patient for the first time.
2. Case Presentation
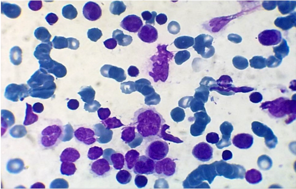
A 72-year-old woman referred to hematology clinic for evaluation of leukocytosis, anemia, and thrombocytopenia. The patient complained of fever, anorexia and weight loss. She had no known history of chronic illness or exposure to radiation or myelotoxic drugs. At the time of presentation, she appeared pale, febrile and chronically ill. Physical examination showed the existence of generalized lymphadenopathy and splenomegaly. The hemoglobin level was 72 g/L, WBC was 218 × 109/L (1.9% neutrophils, 40.9% lymphocytes, and 57% blast cells), and the platelet count was 79 × 109/L. The serum LDH level was 754 U/L (Normal range: 100 - 500 U/L). The peripheral blood smear examination revealed leukocytosis, lymphocytosis, significant blast cells (more than 50%) and some smudge (basket) cells. CLL for the patients was confirmed.
A bone marrow biopsy core was obtained, and patient’s peripheral blood samples were sent for further diagnostic studies. Section of the biopsy core disclosed a diffuse infiltration of lymphoid cells with hyperchromic irregular nuclei and scant cytoplasm in the background. Immunohistochemical (IHC) staining for CD20 in lymphoid cells and CD68 in blastic cells were positive but it was negative for terminal deoxynucleotidyl transferase (TdT). Using blood smear analysis and based on the morphology and IHC findings showed the diagnosis of AML M5. The flow cytometric immunophenotyping analysis with the presence of CD5 positive, performed B-cell population positive (CD19; CD20 dim; CD23 and CD5/CD19), with small cell size that comprised 76% of cells with abnormal phenotype was revealed. The patient also demonstrated more than 80% myeloperoxidase (MPO) and 61.8% HLA-DR positivity. Now, diagnosis of CLL and AML with each other was confirmed.
Therefore, flow cytometric immunophenotyping performed on the peripheral blood sample, demonstrated two distinct abnormal cell populations according to same as above. The patient did not return to the clinic for follow-up and died in less than one month after diagnosis.
3. Discussion
CLL is the most common leukemia in elderly patients in the western world and is a lymphoid malignancy characterized by progressive accumulation of mature lymphocytes in the peripheral blood, bone marrow and organs of liver and lymphoid (6). A diagnosis of concurrent AML and CLL was made based on morphology, IHC and immunophenotype outcomes. The diagnosis of CLL is made based upon a complete differential blood count, flow cytometry of the peripheral blood to determine the immunophenotype of circulating lymphocytes, and a review of the peripheral smear. To diagnose CLL the following criteria must be met. First, absolute lymphocyte count in the peripheral blood should be ≥ 5000/μL (5 × 109/L), with a predominant population of morphologically mature-appearing small lymphocytes. Second, the clonality of the circulating B lymphocytes is confirmed by flow cytometry of the peripheral blood. Finally, the majority of cells should express the following pattern of monoclonal B-cell markers: extremely low levels of SmIg and either kappa or lambda (but not both) light chains, expression of B-cell associated antigens (CD19, CD20, CD21, CD23, and CD24), and expression of the T-cell associated antigen CD5 (7). The diagnosis of AML, however, includes confirmation of bone marrow infiltration with leukemic (blast) cells, with myeloid origin, FAB/WHO classification of the leukemia, and karyotypic analysis. The minimum blast percentage for a diagnosis of AML is 20% in the blood and/or bone marrow in FAB/WHO classification (8).
According to the above criteria, the patient in our study demonstrates the characteristics of both chronic and acute leukemia simultaneously in the absence of a previous treatment. Unfortunately, the patient did not return to our clinic to start her treatment. The simultaneous occurrence of CLL with another neoplasm (mostly a solid tumor) in patients has been reported in the literature. Hypogammaglobulinemia, often seen in patients with CLL, may be related to this increased incidence of secondary neoplasm (3). The association between CLL and acute leukemia is not well understood. AML develops in less than 1% of patients with CLL and in most cases is therapy related (2, 4). In patients with simultaneous CLL and acute leukemia, it is possible that chemotherapy and/or radiotherapy either accelerate the occurrence of acute leukemia in patients with CLL or plays a role in causation. Alternatively, “blast crisis”, as is well recognized in chronic myelocytic leukemia (CML) may represent the natural course of CLL in a small group of patients. Among patients with CLL, the potential for disease transformation to diffuse aggressive non-Hodgkin’s lymphoma (also known as Richter’s syndrome) or the developing to prolymphocytic leukemia is well known (9). Acute blast transformation in CLL has been suggested in some cases of lymphoblastic leukemia sharing the same monoclonal surface immunoglobulin with the B lymphocytes as the leukemic lymphocytes of most patients with CLL (3, 10, 11). However, its incidence is rare.
Before 1977, the literature comprises 31 cases of CLL ending in acute leukemia. Zarrabi et al. (3) in 1977 reported ten CLL patients to developed acute leukemia within four months simultaneously. The mean interval between the initial diagnosis and the occurrence of acute leukemia is 5.6 years.
Since the 1970s, approximately 30 cases of AML occurring concurrently with or after untreated CLL were reported in the literature. 17 of which contain immunophenotypic data. Nevertheless, none of the previous reports drew a conclusion regarding whether AML and CLL share the same clonality in those patients (1, 2, 12-15). In the retrospective review by Robertson et al. (16) from 1374 CLL patients who received care at the M.D. Anderson Cancer Center (1972 - 1992) where 72% of the patients had received prior alkylator therapy, only three cases of myelodysplastic syndrome (MDS) or AML were found. A few reports of CLL transformation into poorly differentiated AML M0, M1, and M2 existed and one case of transformation to AML M4 was reported by Hatoum et al. (2).
3.1. Conclusions
We report a case of previously untreated CLL and AML M5 with rapidly progressive course to death in less than one month of diagnosis. To the best of our knowledge, the development of AML M5 in patient with CLL has not been reported before.
