International Journal of Endocrinology and Metabolism
Research Institute for Endocrine Sciences
31
Jul
2025
31
Jul
2025
31
Jul
2025
Case Report
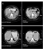
Hydatid Cyst Disease of the Thyroid Gland: A Rare Case Report
Pooneh Dehghan,
Fatemeh Ghiasi,
Seyyed Hasan Langari,
Hossein Moradkhani*
31
Jul
2025
Letter
Polyendocrine Abnormalities Are a Common Phenotypic Feature of the m.3243A>G Variant
Josef Finsterer*

.png)