Archive

11 articles
2021-08-31
vol.31,issue4
8
Aug
2021
Iran J Pediatr
Research Article

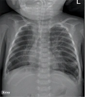
Lung Ultrasonography to Diagnose Bronchopulmonary Dysplasia of Premature Infants

Jing LiuORCID*,
Jing-Han Chi,
Wei Fu,
Li Zhang,
Ru-Xin Qiu
4
Aug
2021
Iran J Pediatr
12
Sep
2021
Iran J Pediatr
Research Article

GlideScope® Versus C-MAC® Video Laryngoscopy in Pediatric Intubation. Does Time Matter?

Rufinah TeoORCID,
Nornafiza Mian,
Syarifah Noor Nazihah Sayed MasriORCID*,
Siti Nidzwani Mohd MahdiORCID,
Yeoh Chih NieORCID,
Nadia Md NorORCID
4
Sep
2021
Iran J Pediatr
23
Aug
2021
Iran J Pediatr
Research Article

Clinical Findings, Laboratory Assessment, and Outcomes of 44 Infants Born to Mothers with Confirmed or Suspected COVID-19: A Multicenter Cohort Study

Ziba MosayebiORCID,
Tahereh Esmaeilnia,
Vafa Ghorban Sabagh,
Amir NaddafORCID,
Setareh SaghebORCID,
Mamak ShariatORCID
,et al.
3
Aug
2021
Iran J Pediatr
Case Report

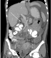
Advanced Gastric Adenocarcinoma in a 12-Year-Old Girl

Ghasem Miri-AliabadORCID*,
Leila Asgarzadeh ORCID,
Abasali NiaziORCID
23
Aug
2021
Iran J Pediatr
Case Report

COVID-19 Infection in Children with Kidney Transplantation in Iran: A Case Series

Shahrbanoo NakhaeiORCID,
Amin Alsadat SharifORCID*,
Rozita Hoseini ShamsabadiORCID,
Hasan OtukeshORCID,
Saeide Ghasemi
16
May
2021
Iran J Pediatr
Letter

Maternal and Neonatal Complications of COVID-19: A Case-series Study

Solmaz Aziz-Ahari*,
Babak Beigi,
Ehsan Parsa,
Fatemeh Ghelichkhani

Share it!

Author Services

Brieflands Author Services

Contact Us!

SCImago Journal & Country Rank

Official COPE member