Archive

8 articles
2024-10-31
vol.19,issue5
18
Nov
2024
Arch Clin Infect Dis
Research Article

Efficacy of Thiamine (Vitamin B1) on Post-acute COVID-19 Syndrome: An Open-Label, Randomized, Controlled Trial

Shabnam TehraniORCID,
Nastaran Mahmoudnejad,
Amirhossein Ahmadi Asour,
Amirreza KeyvanfarORCID,
Elmira Mahmoudi ChalmianiORCID*

|

Final Published

30
Oct
2024
Arch Clin Infect Dis
Research Article

Improving the Outcome of Patients Diagnosed with Rhino-orbito-cerebral Mucormycosis in the Last Two Decades: 97 Patients in Two Referral Centers in the Northeast of Iran

Mahnaz ArianORCID,
Sarina Aeen,
Amin Bojdi,
Mehdi Jabbari NooghabiORCID,
Ali TajikORCID*,
Marzieh Baghoveh
,et al.

|

Final Published

28
Oct
2024
Arch Clin Infect Dis
Research Article

Comparative Efficacy of Chlorhexidine and Fluorine Total Mouthwashes Against Candida albicans and Streptococcus sanguinis

Kasra Ghafari,
Reyhaneh ShoorgashtiORCID,
Simin LesanORCID,
Maryam Rezaei,
Taraneh FarrokhniaORCID*

|

Final Published

7
Sep
2024
Arch Clin Infect Dis
Research Article

Investigated of Epidemiological and Incidence of Human Brucellosis in Southwest of Iran, a Retrospective Study from 2014 to 2021

Parisa Asban,
Fatemeh Kiani,
Mohammad Javad MohammadiORCID,
Saeed GhanbariORCID,
Homayoon Amiri,
Razieh Kazemi Bareh Bichast*

|

Final Published

28
Oct
2024
Arch Clin Infect Dis
Case Report

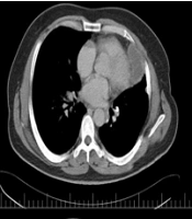
The Massive Asymptomatic Myo-pericardium Hydatid Cyst: A Rare Case Report

Mahmood Hosseinzadeh MalekiORCID,
Ghazaleh KhademianORCID,
Saeideh Imani MoghaddamORCID,
Fatemeh RamezaniORCID,
Mohammad Sadegh Sheikhi,
Mohsen YaghubiORCID*

|

Final Published

27
Oct
2024
Arch Clin Infect Dis

Share it!

Author Services

Brieflands Author Services

Contact Us!

Official COPE member

SCImago Journal & Country Rank