Innovative Journal of Pediatrics
The Scientific Journal of Growth & Development Research Center
5
Jan
2022
Research Article
The Neurologic Complications Associated with Anesthesia in Pediatrics Treated with Radiotherapy Under Anesthesia
Shahryar Sane,
Behzad Sinaei,
Parang Golabi,
Hadi Talebi,
Nazila Rahmani,
Reza Foruhar
,et al.26
Dec
2021
Research Article
Age at Surgical Ligation of Patent Ductus Arteriosus Affects Prognosis in Extremely Premature Infants
Qiuping Li,
Tao Han,
Yonghui Yang,
Gengxu Zhou,
Hui Wang,
Haihua Chen
,et al.26
Dec
2021
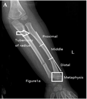
Research Article
Risk Analysis of Re-displacement After Conservative Treatment of Pediatric Unstable Fractures of Middle and Distal Forearm
Dapeng Xu,
Rong Qin,
Wuyu Wang,
Jun Shen,
Aiguo Zhang,
Xiaodong Wang*
30
Dec
2021
Research Article
Comparative Effects of Valganciclovir and Ganciclovir on the Congenital Cytomegalovirus Infection and Hearing Loss: A Randomized Controlled Trial
Lili Yang,
Aijuan Qiu,
Jing Wang,
Zhaojun Pan*
27
Dec
2021
26
Jan
2022
6
Mar
2022
Research Article
Related Factors for Sensitivity to the Initial Dose of Intravenous Immunoglobulin in Children with Kawasaki Disease
Xiaoxiao Li,
Lingling Luo,
Jinbiao Jiang,
Danfeng Pan*

