Innovative Journal of Pediatrics
The Scientific Journal of Growth & Development Research Center
25
May
2025
8
Apr
2025
12
Apr
2025
Research Article
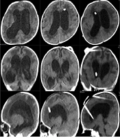
Complex Hydrocephalus in Children: Procedure of Surgical Management
Yijian Yang,
Junqiang Wang,
Kaiyue Wang,
Zhikun Liu,
Qian Ouyang,
Zhangjie Su
,et al.9
Mar
2025
7
May
2025
8
Apr
2025
Research Article
Clinical Characteristics and Early Prognosis of Acute Pancreatitis in Children with Different Etiologies
Mengyan Hou,
Gai Wang,
Qingwei Dong*,
Shiqi Xu,
Wei Cui
9
Apr
2025
Research Article
Research on the Diagnostic Precision of Ultrasound Imaging Characteristics of Common Neonatal Pulmonary Disorders: A Cross-sectional Study
Zaili Feng*,
Na Huang
26
Apr
2025
Research Article

