1. Background
Due to the importance and playing active role in bacteria drug resistance spreading, Metallo β-lactamase (MBL) enzymes, as the bacterial beta lactams hydrolyzing enzymes, are broadly studied around the world. Based on the molecular studies in 1980, the β-lactamases were classified into 4 distinct classes by Ambler: A, C, D included serine enzymes possessing a serine moiety at their active site, and class B that is wholly compromised of metallo-enzymes and requires zinc ions for its enzymatic activity (1-3). From 1995 to 1997, Bush attempted to expand and modify MBLs classification (group 3) by studying the rate and criteria of imipenem and other beta-lactams hydrolyzings. Therefore, Bush categorized these enzymes into three subgroups including 3a enzymes distinguished by their broad spectrum activity, 3b which shows a special avidity to carbapenems, and 3c with a poor hydrolyzing activity (1).
Despite this functional classification, current studies have not specified the relation between their detected MBLs and Bush’s proposed subgroups. In another molecular classification, MBLs are divided into two categories, including normally chromosomally mediated enzymes, and those that are encoded by moveable genetic elements such as plasmids and transposons (1, 4, 5). During current years, the latter MBLs have been frequently studied showing a rapid spread across the world (1). The first MBL (IMP1) was detected in Serratiamarcescens in Japan, 1991(6). Since then, other kinds of MBLs including VIM, SIM, SPM, GIM, AIM were detected around the world (7, 8). This type of MBLs naming is based on detection location. Hence, with exception of IMP which stands for “active on imipenem,” VIM was first detected in Verona, Italy; SIM in Seoul, Korea; SPM in Sao Paolo, Brazil; GIM in Dusseldorf, Germany, and most current gene AIM in Australia (1, 2, 8).
Pseudomonas aeruginosa is an opportunistic Gram-negative pathogenic bacterium responsible for many nosocomial diseases outbreaks (e.g. septicemia and pneumonia, bacterimia, meningitis, urinary tract and wound infections) in different part of world (9). It has been observed that MBLs-producing isolates of P. aeruginosa are resistant to many antimicrobial agents including carbapenems, cephalosporins, and penicillins (4, 10). The first detected case of P. aeruginosa carrying MBL (blaIMP1) was in 1991 in Japan (11). In Iran, the first isolation of blaIMP1 was reported by Peymani et al. (12) in 2011, the Acinetobacter baumannii isolates collected from several hospitals in Tabriz (Northwest of Iran). Currently, by growing rate of resistance against traditional antibiotics, treatment of patients with infections caused by MBLs-producing P. aeruginosa seems critical. Therefore, current study is performed to examine the prevalence of MBLs-producing P. aeruginosa isolates from four major teaching hospitals in Shiraz, Iran. Shiraz is a touristic city in southwest of Iran and because of the incoming travelers from different part of the world to this city, there exsits a high potential of. high potential of various diseases outbreaks, especially those transferable by tourists and local residents are available.
2. Objectives
Studying the prevalence of blaIMP1, blaVIM2, blaSPM1 and blaSIM1 in P. aeruginosa isolates obtained from 4 teaching hospitals in Shiraz, identification of genes performing phenotypic methods followed by genotypic confirmation strategy.
3. Materials and Methods
In this cross sectional descriptive study, isolated samples were collected from hospitalized patients during a 6-month period from October 2011 to March 2012. The isolates were taken from patients’ blood (n=3), urine (n=47), wounds (n=142), sputum (n=20), etc. (n=28). Isolates were collected from laboratory sections of 4 teaching hospitals in Shiraz including Namazi, Faghihi, Ghotbedin, and Ali Asghar hospitals. Identification of P. aeruginosa isolates was as below. Gram staining, colony morphologies, McConkeys agar, TSI test, oxidase reaction, and growth at 42 °C are the phenotypic test which are used in this study (13).
Disk diffusion method (Kirby-Bauer) on Muller-Hinton agar plates (Hi Media, Mumbai, India) was performed to test the antibiotic susceptibility according to CLSI (14). The pipracilin+ tazobactam (100+10µg), pipracilin (100 µg), ceftazidime (30 µg), amikacin (30 µg), cefotaxime (30 µg), imipenem (10 µg), colistin (30 µg), ceftizoxime (30 µg), ceftriaxone (30 µg), polymyxin B (300 U) (Rosco-Denmark) antimicrobial disks used, P. aeruginosa ATCC 27853 was used as control for antibiotic susceptibility testing.
Minimum inhibitory concentration (MIC) of non-susceptible isolates was performed by broth micro-dilution method according to CLSI guidelines (14). P. aeruginosa strains with MIC ≥ 4 μg/mL to imipenem were tested to check the possibility of carrying MBLs. To phenotypic detection of isolates producing MBL, double disk synergy test (DDST) was carried out. Therefore, 0.5 M EDTA solution was prepared by dissolving 186.1 g of disodium EDTA.2H2O in 1000 mL distilled water, and the pH adjusted to 8 by adding NaOH (15). Then, 930 μg of the prepared solution was added to imipenem disk, and dried in an incubator. The prepared EDTA-imipenem disk and the imipenem disk itself were placed in a plate containing Muller-Hinton agar with cultured P. aeruginosa. After 16 – 18h of incubation at 37°C, an MBL positive organism was approved if the diameter of inhibition zone increased by 7 mm or more around the IMP plus EDTA in comparison to IMP disk(3, 10, 16, 17).
The polymerase chain reaction (PCR) was performed to detect IMP1, VIM2, SPM1 and SIM1 genes. Using primers (Bioneer, Korea) which are shown in Table 1.
| Enzyme | Primer | 5'3' Sequence | Size, bp |
|---|---|---|---|
| Class B | IMP(1)F | 5′-GGAATAGAGTGGCTTAAYTCTC-3′ | 232 |
| IMP(1)R | 5′-GGTTTAAYAAAACAACCACC-3′ | ||
| VIM(2)F | 5′-GATGGTGTTTGGTCGCATA -3′ | 390 | |
| VIM(2)R | 5′-CGAATGCGCAGCACCAG-3′ | ||
| SPM(1)-F | 5′-AAAATCTGGGTACGCAAACG-3′ | 271 | |
| SPM(1)-R | 5′-ACATTATCCGCTGGAACAGG-3 | ||
| SIM(1)-F | 5′-TACAAGGGATTCGGCATCG-3′ | 570 | |
| SIM(1)-R | 5′-TAATGGCCTGTTCCCATGTG-3′ |
Total DNA from P. aeruginosa isolates was extracted by DNA Extraction Kit (Bioneer, Korea).
PCR tests were carried out as follows: 10 min initial denaturation at 94°C, 36 cycles of denaturation at 94°C for 30s, annealing at 52 °C for 40 s, extension at 72°C for 50s and final extension at 72°C for 5 min. Amplification reactions were performed in a final volume of 50 μL containing 200 μM concentrations of dNTPs (CinnaGen, Iran), 10µmol/L of each primer (Bioneer, Korea), 1.5 mM MgCl2 (CinnaGen, Iran), 2 U taq polymerase (CinnaGen, Iran) and 3μL DNA templates. Positive controls were obtained from Pasteur Institute, Tehran, Iran. PCR products were loaded into 2% agarose gel and stained with 1% ethidium bromide and visualized under UV light.
4. Results
Two hundred forty confirmed isolates of P. aeruginosa were collected from 142 wound sample (59.16%), 47 urine samples (19.58%), 20 sputum samples (8.3%), 10 endotracheal tube biofilm (ETT-BF) samples (4.16%), 5 throat samples(2.8%), 3 blood samples(1.25%), and 13 from other parts (5.41%).
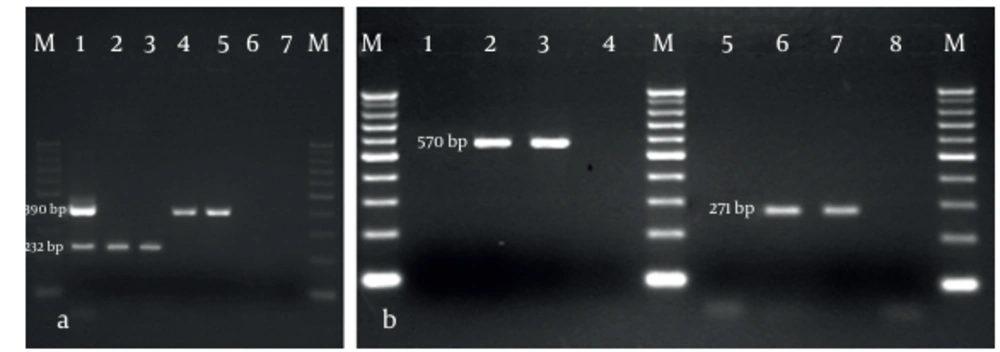
Agar disk diffusion test showed that 127 (52.91%) isolates were resistant to pipracilin+tazobactam, 147 (61.25) to pipracilin, 152 (63.33%) to ceftazidime, 149 (62.0%) to amikacin, 159 (66.25%) to cefotaxime, 142 (59.16%) to imipenem, 15 (6.25%) to colistin, 174 (72.5%) to ceftizoxime, 157 (65.41%) to ceftriaxone, and 14 (5.83%) to polymyxin B (Figure 1). Eighty two high-level imipenem-resistant isolates (MIC≥4) were screened by DDST, and 19 P. aeruginosa isolates were found with MBL resistance gene. By implementing PCR method, 8 isolates (9.75%) (6 from burn patients and 2 from outpatient department (OPD)) carried bla IMP1 and 10 isolates (12.19%) (5 form burn patients, 2 from ICU, 2 from pediatric, and 1 from neurology wards) bla VIM2 . No incidence of bla SIM1 , bla SPM1 was detected (Figure 2).
Part a: Multiplex PCR detection of blaIMP1 (232bp) and blaVIM2 (390bp),(lanes: M:100bp marker, 1: positive control, 2 and 3: PCR product of blaIMP1 gene, 4 and 5: PCR product of blaVIM2 gene, 6 and 7: negative controls) Part b: PCR detection of blaSIM1 (570 bp) and blaSPM1 (271 bp), (lanes: M: 100 bp marker, 1, 4, 5, and 8: negative controls, 2 and 3: positive control of blaSIM1 gene, 6 and 7: positive control of blaSPM1 gene)
5. Discussion
Currently, carbapenems such as imipenem generally represents main resources for treatment of infections caused by Gram-negative opportunistic bacteria such as P. aeruginosa strains(19). Nonetheless, high-level and broad antimicrobial activity range due to the present of MBLs is not only a major therapeutic problem, but also a major concern in control and management of infection in hospitals and health care centers (10, 19, 20). Another importance to detect P. aeruginosa carrying MBLs, is because of their role in serious infections like septicemia and pneumonia and resulted to mortality and morbidity in different parts of the world (4, 16, 21, 22). Carbapenems resistances are as a result of outer membrane permeability reduction, efflux pump over expression, alteration of penicillin-binding protein, and presence of carbapenems hydrolyzing enzymes such as β-lactamase (19). Since β-lactamases are placed in movable elements such as plasmids or integrons, thus, they easily horizontally transmitted between organisms (19, 23).
Occurrence of metallo-β-lactamase is studied by various researches across the world. In 2011 in India, widespread emergence of resistant P. aeruginosa producing MBLs was studied. In this study, of the 53 isolates of P. aeruginosa, 32% were found resistant to imipenem and 20.8% found to be MBL producers (9). In Korea in 2010 (19), the prevalence of MBLs in P. aeruginosa and A. baumannii was investigated. Therefore, 128 P. aeruginosa and 93 A. baumannii isolates collected from clinical specimens were tested by phenotypic and genotypic methods for possible presence of MBLs. Based on the results, 31 P. aeruginosa and 3 A. baumannii isolates were found to carry MBL genes including blaIMP1 and blaVIM2 (19). In Greece during 3 years, large dissemination of P. aeruginosa producing blaVIM2 was studied (24).
The researchers reported that the major cause of (urinary tract) infections in nosocomial acquisition samples was P. aeruginosa producing MBL (24). In an Australian paper (25) published in 2010, dissemination and genetic variants of MBLs producing P. aeruginosa isolates recovered from four countries including Korea, India, Taiwan, and Philippines were examined. Out of 719 collected isolates from blood, respiratory tracts, and skin samples, 196 (27.3%) were non-susceptible (MIC≥8µg/mL) to imipenem. Using multiplex PCR was used to align multiple variants of IMP, VIM, and other MBL genes. At the last resort, 31 P. aeruginosa isolates carrying blaVIM6 (genetically a successor of blaVIM2) were detected (25). In Iran in a most current paper published in 2012 (26) focused on molecular detection of variants of MBL producing P. aeruginosa isolates from hospitalized patients. From 108 P. aeruginosa isolates, 40 were imipenem-resistant (MIC ≥ 16µg/mL). Fifty percent of all imipenem resistant isolates were blaVIM1, 56.6%blaVIM2, and 6.6% blaIMP1 and no incidence of blaIMP2 and blaSPM1 was reported (26).
In current study, we examined 240 isolates of P. aeruginosa collected from 4 major hospitals in Shiraz, Iran. Of the 240 isolates, 82 isolates were imipenem-resistant P. aeruginosa (MIC ≥ 4µg/mL). From these imipenem-resistant isolates using DDST, 19 (23.17%) were detected to be MBL positive. test confirmed 18 MBL-producing P. aeruginosa including 8 isolates (9.75%) with blaIMP1 and 10 (12.19%) blaVIM2. Although we examined possible occurrence of blaSIM1 and blaSPM1, we found no incidence of these genes among our samples. We detected 8 isolates of P. aeruginosa producing blaIMP1. tothe best of our knowledge and regarding related published studies, this is the third time of blaIMP1incidence in Iran and first time in Shiraz, Iran. The first occurrence was reported by Peymani et al. in 2011 (12) in A. baumannii isolates obtained from Tabriz city in north-west of Iran; the second one was reported by Sadeghi et al. in 2012, the P. aeruginosa isolates obtained from patients in Arak city in the middle of Iran.
Detection of P. aeruginosa blaVIM2 is very recent in Iran and the sole reported occurrence is by Sadeghi and his colleagues in 2012(26). Our report of P. aeruginosa blaVIM2detection is much likely the second occurrence in Iran. Detection of these two newly found MBLs in Shiraz reveals that the P. aeruginosa producing blaVIM2 is distributed in the region. Since this is the first time that the presence of these genes is studied in Shiraz, we can suppose that such isolates carrying MBL genes have most likely been existed in the southern region of Iran, but remained undetected till now. We also can suppose that these newly found MBL genes might have been transmitted from other P. aeruginosa, or even might have been traveled from other cities or countries (e.g. by tourists). The most and also the sole frequent reported MBL-producing P. aeruginosa in Iran is blaVIM1 which is previously reported by several researchers (3, 16, 21, 27-29) in different cities of Iran, for example, in Ahvaz (south-west of Iran), Tehran (north of Iran), and Arak.
Current study and other related current published ones show that these genes are increasingly spread across the country. Therefore, a proper identification of these strains carrying MBLs, (especially blaIMP1 and blaVIM2) can prevent the distribution of transferable genes resistant to previously used agents. Furthermore, infection control management is highly recommended.

