Archive

6 articles
2025-07-30
vol.22,issue3
31
Jul
2025
I J Radiol
Research Article

Cardiac Involvement in Friedreich’s ataxia: A Case Series Highlighting Imaging Findings

Mersad MehrnahadORCID,
Hamidreza PouraliakbarORCID,
Fatemeh Abedpour,
Mansoor NamaziORCID*,
Mahya ElmiORCID

|

Final Published

31
Jul
2025
I J Radiol
Research Article

Assessing Machine Learning Classifiers in COVID-19: The Role of Clinical, Laboratory, and Radiological Features in Predicting Oxygen Saturation

Mostafa ShahidzadeORCID*,
Ramezan Jafari,
Nematollah Jonaidi Jafari,
Fateme Salmanizadegan,
Omid Teymouri,
Maryam Sabouri
,et al.

|

Final Published

31
Jul
2025
I J Radiol
Research Article

Enhanced Diagnosis of Chest X-Ray Using Hybrid Deep Learning Models and Feature Selection Techniques

Ahsan Aziz,
Awais Khan,
Yunyoung Nam,
Yongwon Cho*

|

Final Published

25
Oct
2025
I J Radiol
Research Article

Optimizing MRI Protocols with Metal Artifact Reduction Sequences in Dental Implants: An In Vitro Study on Dry Human Skull at 1.5 T

Solmaz ValizadehORCID,
Narges Mirzania*,
Hamidreza PouraliakbarORCID,
Seyedhasan Fatehi

|

Final Published

31
Jul
2025
I J Radiol
31
Jul
2025
I J Radiol
Case Report

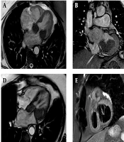
Cardiac Inflammatory Pseudotumor Following Atrial Septal Defect Repair: A Rare Complication Managed with Sirolimus and Bevacizumab

Mersad MehrnahadORCID,
Hamidreza PouraliakbarORCID,
Ali MohammadzadehORCID,
Mansoor NamaziORCID*

|

Final Published

Share it!

Author Services

Brieflands Author Services

Contact Us!

Official COPE member