IJ Pharmaceutical Research
20
Aug
2024
Research Article
Saliva Lipids May Determine Alprazolam Toxicity: An FTIR Study
31
Mar
2024
Research Article
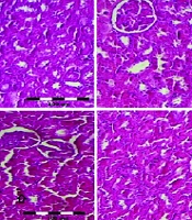
Mitochondrial Transplantation Alleviates Doxorubicin-Induced Toxicity in Rat Renal Cells
Enayatollah Seydi,
Mahsa Andalib,
Sana Yaghoubi,
Amir Fakhri,
Jale Yuzugulen,
Abdollah Arjmand**
,et al.27
Apr
2024
11
Jun
2024
Research Article
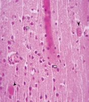
Insulin and TLR4 Inhibitor Improve Motor Impairments in a Rat Model of Parkinson’s Disease
Fatemeh Hemmati,
Neda Valian,
Abolhassan Ahmadiani,
Zahurin Mohamed,
Raymond Azman Ali,
Norlinah Mohamed Ibrahim
,et al.13
Nov
2024
Research Article
The Glucagon-Like Peptide-1 (GLP-1) Receptor Agonist Liraglutide Regulates Sirtuin-1-Mediated Neutrophil Extracellular Traps to Improve Diabetes-Induced Bone Metabolism Imbalance
Shuai Zhong,
Liangzhi Huang,
Tingting Lin,
Yanyan Li,
Bin Deng,
Dezhi Kong
,et al.8
Apr
2024
13
Oct
2024
Research Article
Dendrosomal Curcumin Showed Cytotoxic Effects on Breast Cancer Cell Line by Inducing Mitochondrial Apoptosis Pathway and Cell Division Arrest
Houriye Abbasi,
Fatemeh Hosseinkhani,
Bahareh Imani Fouladi,
Siroos Tarighi,
Majid Sadeghizadeh,
Maryam Montazeri*
8
Apr
2024
9
Mar
2024
Research Article
Genomic Characteristics of an Extensive-Drug-Resistant Clinical Escherichia coli O99 H30 ST38 Recovered from Wound
Ali A Dashti*,
Leila Vali,
Sara Shamsah,
Mehrez Jadaon,
Sherief ElShazly
10
Nov
2024
11
Sep
2024
Research Article
Selection and Characterization of a DNA Aptamer Recognizing High Mobility Group Box 1 Protein (HMGB1) and Enhancing Its Pro-inflammatory Activity
Hanchao Li,
Wengang Sun,
Yanhua Huang,
Qian Li,
Hong Tian,
Zhiming Hao
,et al.11
May
2024
18
May
2024
27
Feb
2024
28
Oct
2024
Expressions of Concern
Expression of Concern for Paraquat Exposure Up-regulates Cyclooxygenase-2 in the Lungs, Liver, and Kidneys in Rats [Iran J Pharm Res. 2013; 12(4): e125760]
Editor-in-Chief IJPR*
7
May
2024
2
Jun
2024
12
Nov
2024
Research Article
Apoptotic Impact of Heliox Cold Plasma on a Cervical Cell Line Using Gold Nanoparticle-Doped Graphene Oxide Nanosheets
Mahsa Vatani,
Simzar Hosseinzadeh*,
Amirhossein Sari**,
Hamidreza Ghomi Marzdashti,
Azam Rahimpour,
Roya Fattahi
9
Nov
2024
24
Nov
2024
Research Article
The Application of Machine Learning in Predicting the Permeability of Drugs Across the Blood Brain Barrier
Sogand Jafarpour,
Maryam Asefzadeh,
Ehsan Aboutaleb*
26
Nov
2024
Correction
Erratum for Ruthenium (II) Complexes Based on Phenanthroline-Tetrazole as Possible Anticancer Agents [Iran J Pharm Res. 2023;22(1): e136738]
Saeid Abaspour,
Behzad Soltani*,
Hamed Hamishehkar,
Moayad Hossaini Sadr
4
Dec
2024
Research Article
Modulating the Biliverdin Reductase (BVR)/ERK1/2 Axis to Attenuate Oxidative Stress in Rat Arterial Rings
Kuldeepak Sharma*,
Mateja Skufca Sterle,
Hugon Mozina
16
Sep
2024
Research Article
Antiproliferative and Pro-apoptotic Activities of Tournefortia mutabilis vent. Leaves on the Human Breast Adenocarcinoma Cell Line (MCF-7)
Zoila Mora-Guzmán,
Luis Bernardo Flores-Cotera,
Eduardo Pérez-Campos,
Rebeca López-Marure,
Delia Soto-Castro,
Felipe Alonso Masso-Rojas
,et al.16
Sep
2024
27
Feb
2024
26
Mar
2024
Research Article
Renal Fibrosis and Oxidative Stress Induced by Silica Nanoparticles in Male Rats and Its Molecular Mechanisms
Bakhta Aouey,
Khadija Boukholda,
Alin Ciobica*,
Vasile Burlui,
Rachid Soulimani,
Fatiha Chigr
,et al.