Journal of Kermanshah University of Medical Sciences
Peer-reviewed Medical Quarterly
20
Oct
2025
30
Sep
2025
30
Sep
2025
17
Sep
2025
Research Article
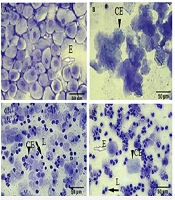
Studying the Effect of Rosemary Hydroalcoholic Extract in Improving Polycystic Ovary Syndrome Induced by Letrozole in Mice
Ghazal Sadat Eftekhar Vaghefi,
Homa Mohseni Kouchesfehani*,
Mahnaz Azarnia,
Elaheh Amini,
Nasim Naeimi
14
Sep
2025
Research Article
Short-Term Efficacy of Hydroxychloroquine Versus Sulfasalazine in the Treatment of Undifferentiated Arthritis
Ghodratollah Dehestani,
Hamidreza Soltani*,
Mohammad Bagher Owlia
